L'orthodontie
Grâce au développement de techniques discrètes et confortables, de plus en plus d’adultes ont recours à l’orthodontie.
Quel que soit le type d’appareil (amovible ou fixe), les bons gestes d’hygiène bucco-dentaire sont un gage de réussite de votre traitement.
Une succion du pouce prolongée peut avoir des conséquences sur le développement de la mâchoire, des dents, et aussi sur l’élocution de l’enfant.
Invisalign® est un traitement orthodontique basé sur le port successif d’une série de gouttières transparentes.
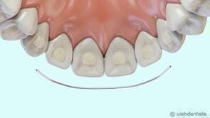
L’orthodontie consiste à déplacer les dents afin de retrouver un alignement dentaire harmonieux et d’améliorer les fonctions orales.
Un traitement orthodontique permet d’obtenir un sourire harmonieux. Mais avoir un beau sourire n’est qu’un des nombreux avantages de l’orthodontie.











